Two types of material are currently commonly used to fill cavities. One, called silver, is actually made of a paste of silver, copper, and about 50 percent mercury, and it has been around since the 1840s. In the 1980s, new technology led to a breakthrough in white composite filling materials, making them durable enough to stand up to the pressures of chewing in the back teeth. Dr. Peterson prefers the white composite fillings. Here’s why.
It’s Not Just about the Appearance

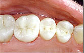
As you can see from the before and after photos to the left and right, white composite fillings look like natural tooth. And many people assume that appearance is the only advantage to composite fillings. But there is much more to the story.
Saving More of the Natural Tooth
White composite fillings require much less drilling than mercury amalgam fillings do. With amalgam fillings, any weakened or undermined tooth structure has to be removed, and the dentist has to prepare the cavity to a minimum depth or the filling will crack. Since composite bonds to the tooth, weakened tooth structure can be left undisturbed, as long as it is healthy, and no minimum thickness of material is required. And because the composite filling is bonded to your tooth, it actually strengthens it, whereas amalgam fillings have a tendency to weaken the teeth they fill.
Choosing a Well-Qualified Composite Dentist
Although white composite fillings have been around since the 1980s, until recently many dental schools still trained their students to place amalgam fillings in the back teeth. This leaves some dentists unprepared to place white fillings.
Dr. Peterson has pursued post-graduate training in order to learn the specialized bonding and isolation techniques essential to successful placement of white fillings. Without this training, there is a risk that the filling will not be placed and bonded correctly, and this can cause significant tooth sensitivity.